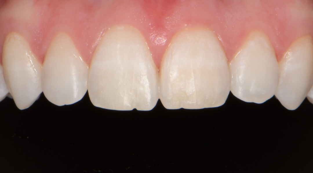
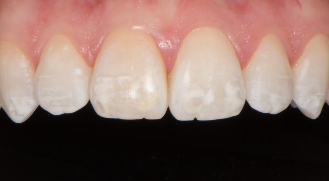
Before & Afters
%20(1).webp)
Real Patient Transformations
Changing Lives, One Smile At A Time
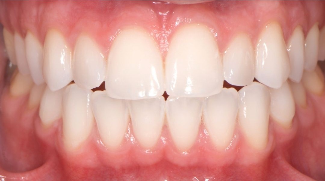
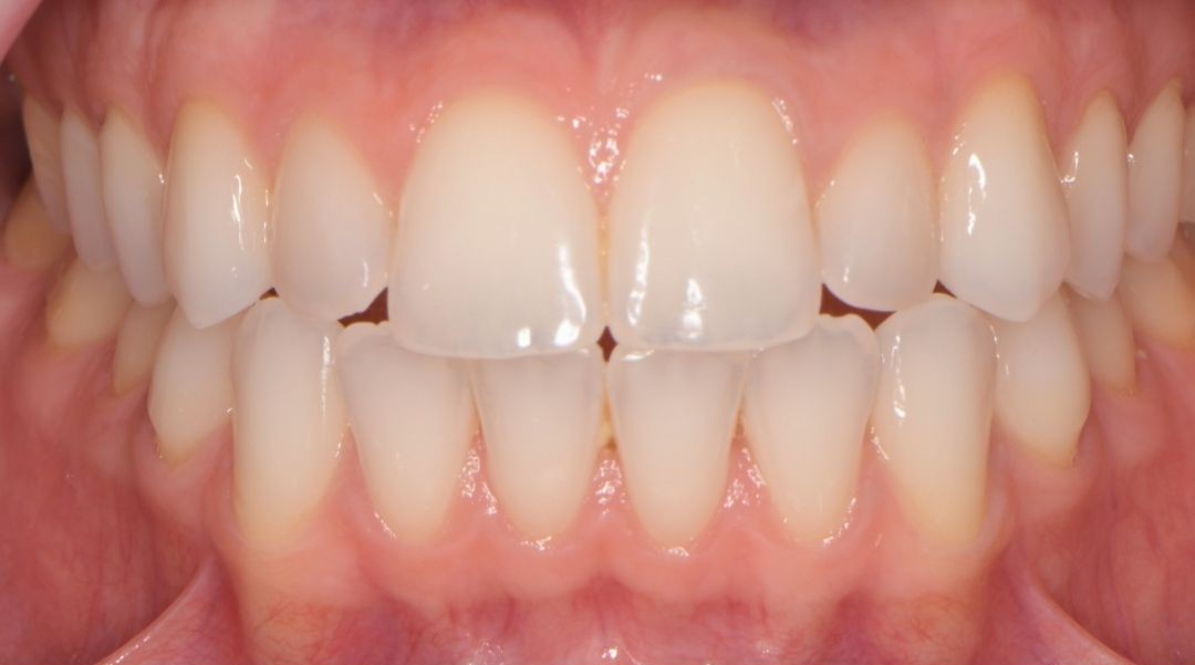
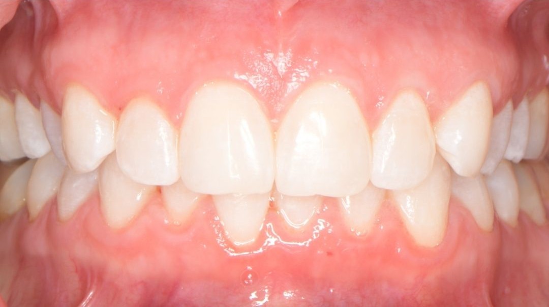
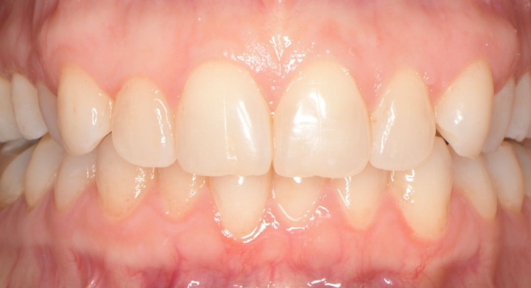
Many patients step into our practice with dreams of a brand new smile. Others are looking to repair damage and get their oral health back on track. Seeing these individuals walk out of our doors with a strong smile and newfound confidence is the reason behind our mission here at Vibrant Smiles. No matter your goals, we’re honored to be a part of your oral health journey. Take a look at our Before & After gallery to explore real patient stories!




Zoom 2


Zoom
Icon


Veneers


Bridge Veneer

