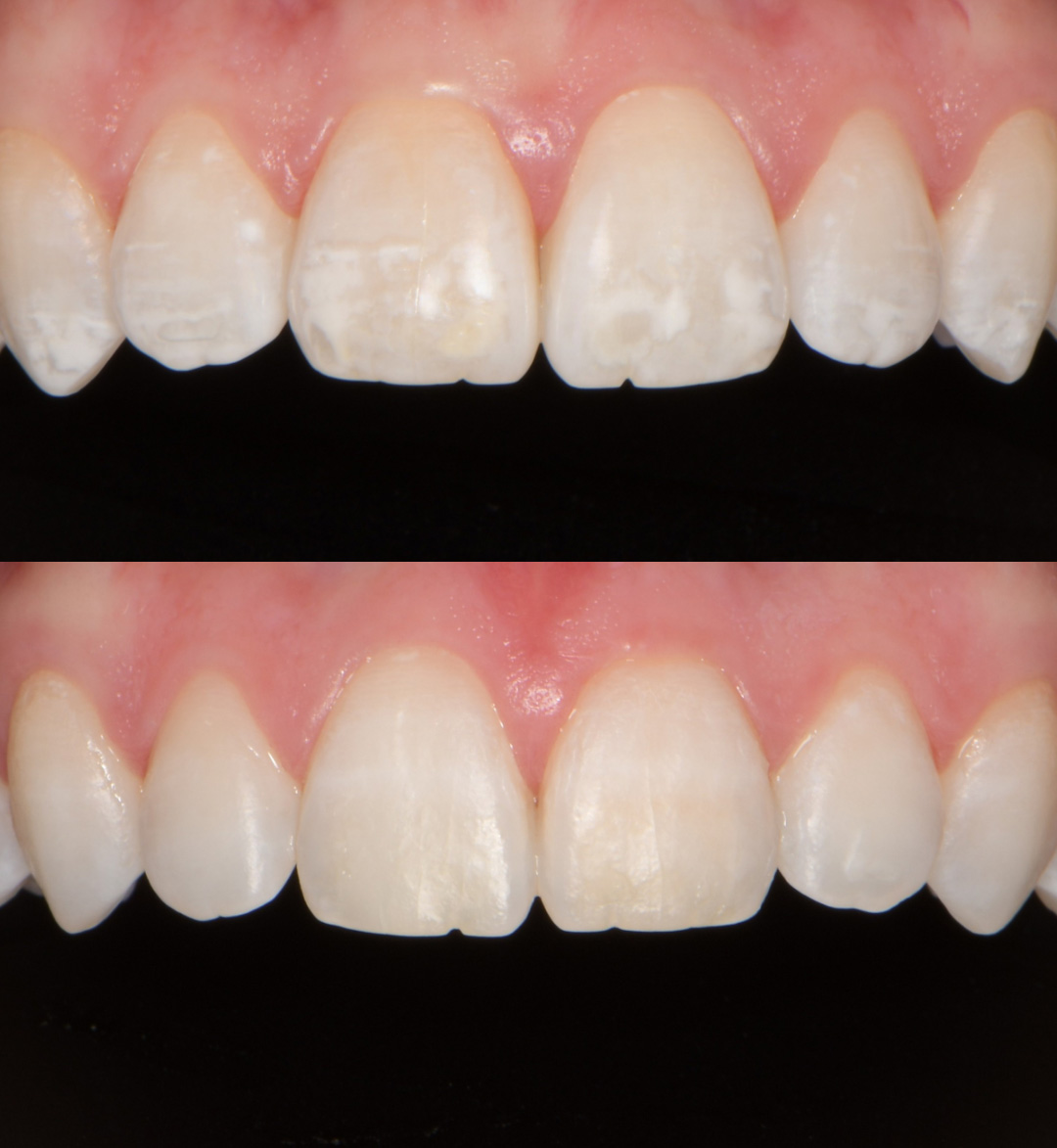
ICON White Spot Lesion Removalin North Phoenix, AZ
ICON White Spot Lesion Removal
in North Phoenix, AZ


No items found.
No items found.
No items found.
FAQs
Frequently Asked Questions
Check out these frequently asked questions, or call us to speak with our team.
No items found.

